Diagnose
Le diagnostic de l'EoE repose d'une part sur un interrogatoire médical approfondi et minutieux du patient ainsi que de ses symptômes par le médecin traitant. (anamnèse) D'autre part, cet examen repose sur une gastroscopie (panendoscopie supérieure) avec un prélèvement ciblé d'échantillons de tissus de l'œsophage (biopsie) et un examen de leurs tissus fins (histologie).
Des examens complémentaires, par exemple, des radiographies de l'œsophage, un scanner (médical), des mesures de l'acidité et de la pression, peuvent être utiles pour plus de clarté et de complémentarité, dans l'interprétation des résultats des premiers examens.
Endoskopie
La panendoscopie supérieure est réalisée par un spécialiste de l'intestin grêle. Cette intervention fait partie du répertoire de base de tout spécialiste de l'intestin grêle, elle est peu contraignante, peu risquée et indolore. En raison du réflexe de nausée désagréable, l'examen est généralement réalisé par sédation profonde. L'examen dure généralement entre 10 et 15 minutes.
Chez les enfants plus jeunes, en revanche, une narcose est nécessaire. Dans le cadre de cet examen, le spécialiste gastro-intestinal recherche les modifications typiques de l'EoE, par exemple le gonflement de la muqueuse (œdème), les sillons longitudinaux, les exsudats blancs, les anneaux et les rétrécissements (strictures). En outre, le spécialiste gastro-intestinal peut exclure d'autres causes de troubles de la déglutition, par exemple des tumeurs, la maladie de reflux, des diverticules ou d'autres maladies du tractus gastro-intestinal supérieur, comme une inflammation de la muqueuse gastrique (gastrite) ou une maladie cœliaque, grâce à cet examen.
Histologie
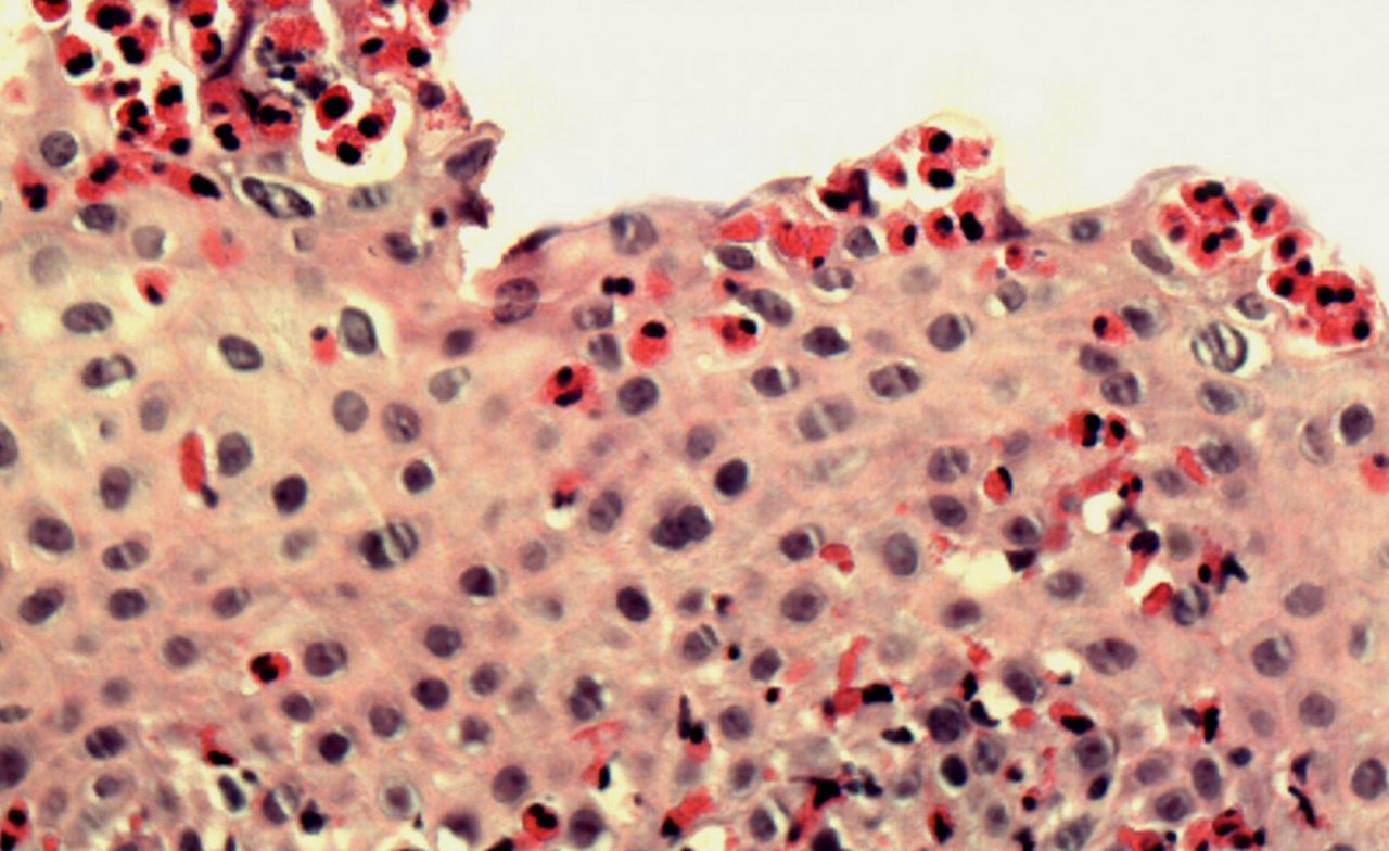
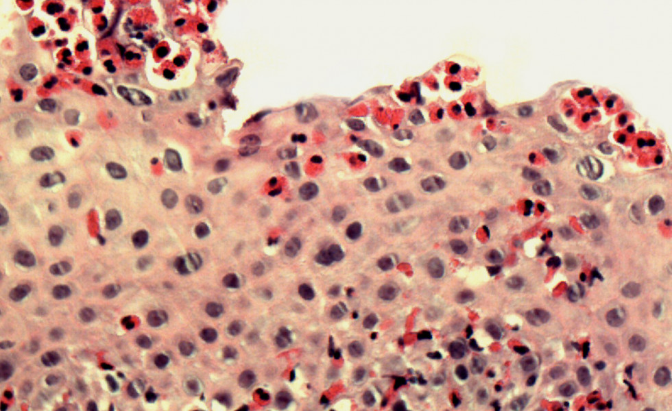
Pendant l'endoscopie, le médecin prélève plusieurs petits échantillons de tissus (biopsies) de quelques millimètres. Cette intervention est peu risquée. Après fixation et coloration de ces petits échantillons de tissus, ils sont examinés au microscope par le pathologiste. On trouve typiquement une infiltration de granulocytes éosinophiles dans les tissus de l'œsophage. Il s'agit de cellules inflammatoires (leucocytes) que l'on trouve surtout en cas d'inflammation allergique. Pour le diagnostic, une densité minimale de 15 granulocytes éosinophiles par champ visuel est requise. Si le traitement est efficace, on ne devrait idéalement plus trouver de cellules inflammatoires dans les tissus.



